科室新闻 首页 > 新闻公告 > 科室新闻
【科室动态】我院多学科联合治疗一例恶性腹膜后肿瘤患者
发布时间:2024-08-29来源:浏览:


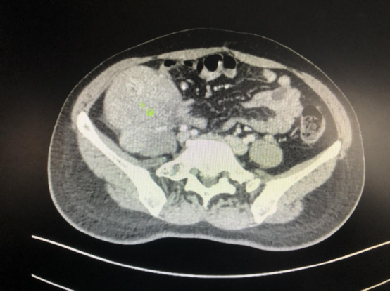
  近日,我院普外科一病区成功为一名38岁女性患者郑某某(化名)实施了腹膜后肿瘤切除手术。患者因右下腹包块伴反复发热2月来院就诊。入院CT检查提示右下腹有直径达13cm的占位性病变;左侧附件区也存在囊性灶。

  

  普外科一病区王功勋主任团队联合妇科、泌尿外科、肿瘤内科及麻醉科等进行多学科会诊,对患者进行了全面评估。他们从术前准备、术中防护到术后恢复,每一环节都进行了详尽的讨论。最终,团队为患者执行了腹膜后肿瘤切除术、卵巢肿瘤切除术以及经尿道输尿管支架植入术。手术过程中,团队操作精细,确保在完整切除肿瘤的同时,保护周围的血管、神经和脏器,以减少并发症的风险。

  

  目前,患者术后恢复良好,已顺利出院。此次手术的成功,不仅彰显了团队在处理复杂疑难病症和多学科协作方面的实力,也标志着我院胃肠外科在此领域迈上了新的台阶。

  

  什么是腹膜后肿瘤?

  

  腹膜后肿瘤是原发于腹膜后潜在腔隙的肿瘤,以及由其他部位转移来的继发性肿瘤。临床上通常指原发性腹膜后肿瘤,其中多数属于软组织肿瘤。这类肿瘤中,恶性肿瘤的比例高达80%,其中以间叶组织来源的肉瘤最为常见,约占42%。据统计,我国每年新发腹膜后肉瘤病例约达10000人。

  

  如何早期发现腹膜后肿瘤?

  

  腹膜后肿瘤由于位置深藏,发病早期往往症状不明显,缺乏特异性体征。定期体检和及时就诊是早期发现的关键。随着病情进展,可能出现腹部膨隆,体检时可触及肿块,并伴有腹胀、腹痛等症状。

  

  外科治疗方法

  

  手术切除是腹膜后肿瘤的主要治疗手段,也是患者获得潜在治愈机会的最佳途径。手术原则是在确保安全的前提下,尽可能实施规范的根治性切除(R0切除)。腹膜后肿瘤易反复局部复发,患者常需经历多次手术,且复发间期可能逐渐缩短,直至无法再进行手术。因此,患者不仅需重视首次手术的根治性,也应在复发时寻找合适的手术时机。

  

  供稿:普外科一病区  陈杰

  


版权所有: 颍上县人民医院版权所有   备案:皖ICP备15025415号-1     公安备案号:34122602000431
医院地址: 安徽省阜阳市颍上县慎城镇甘罗路566号                咨询电话:0558-2826093