科室新闻 首页 > 新闻公告 > 科室新闻
发热的那些事之“鹦鹉热”
发布时间:2024-08-22来源:浏览:


  

  李女士(化名)最近反复高热。她原以为是普通感冒或流感,自行服用了布洛芬、奥司他韦和阿莫西林,但症状并未缓解,并一度烧到40℃,甚至出现恶心、呕吐以及喘闷等情况。

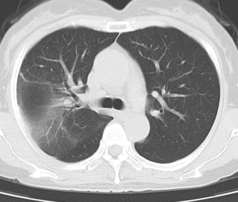
  遂至我院感染科门诊就诊,完善肺部CT提示右上肺大叶性肺炎、双侧胸腔积液。入院后,主任查阅了患者的检查、检验报告单,并了解到其家中饲养几十只鸽子后,找出了她反复高热的元凶——鹦鹉热衣原体。

  

  

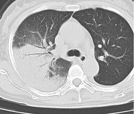
  经积极治疗,李女士症状逐渐好转,出院前复查肺部CT,肺部病灶明显吸收。

  







鹦鹉热

  鹦鹉热是一种由鹦鹉热衣原体引起的人、鸟和其他动物的人兽共患传染病。

  不光是鹦鹉,其他禽鸟类包括家禽(鸽子、鸡、鸭)和野生动物都可以携带并感染这种病原体,人类多是经呼吸道吸入或密切接触病鸟而被感染的。

  

  





鹦鹉热的传播途径

  鹦鹉热人际传播罕见,是典型的动物传染源性传染病。

  其主要的传染来源是带菌的禽鸟及其分泌/排泄物,主要通过呼吸道吸入混有病原体的颗粒物或感染性气溶胶,或是直接接触带菌禽鸟及其分泌排泄物等而感染的。

  因此,宠物鸟饲主、兽医、宠物店或从事家禽饲养售卖加工的工作人员都是本病的高危人群。

  

鹦鹉热的症状

  鹦鹉热衣原体侵入人体后,潜伏期一般为1-2周。临床症状缺乏特异性,最常引起肺炎,表现为发热、咽痛、咳嗽、呼吸困难以及头痛、肌肉酸痛等流感样症状。

  相比于一般的细菌引起的肺炎,鹦鹉热常伴有各种各样的肺外表现,例如神经系统症状(头痛、精神状态改变)、消化道症状(呕吐、腹痛,肝功能异常),甚至可能并发心肌炎。

  

鹦鹉热的治疗

  鹦鹉热的首选药物是四环素类抗生素,口服治疗可以用多西环素、盐酸四环素,对于重症患者的初始治疗,盐酸多西环素可静脉给药。

  通常在48—72小时内症状可得到明显缓解,可能产生复发,必须继续治疗至退热10—14天后。

  开头的李女士就在“多西环素”的治疗下,很快控制了病情并顺利恢复。

  但如果没有及时用上合适的药物,鹦鹉热可能会快速进展成重症肺炎,甚至“白肺”,危及生命。

  截至目前,颍上县人民医院感染病科已经诊治了数例鹦鹉热患者,其中不乏肺炎较重,甚至危及生命的严重病例。我们对这个疾病的充分认识和高度的敏感性,让很多患者摆脱劫难,转危为安。

  

鹦鹉热的预防

  减少饲养鸟类和禽类,避免亲密接触行为等,接触过后清洗双手;

  家养鸟禽注意卫生,并做好检疫措施;

  清理鸟笼时戴好口罩及手套;

  对可疑病鸟及时隔离;

  若出现相应的临床症状且有禽鸟暴露史,应及时就诊并主动告知医生。

  

  颍上县人民医院感染科简介

  颍上县人民医院感染科是我县唯一的感染性疾病和肝病诊疗中心,核定床位48张,开放床位72张,医护人员33人,其中高级职称6人,中级职称7人,承担全县感染性疾病的诊疗,并参与全县传染性疾病的防控等工作。科室现为上海交通大学医学院附属瑞金医院感染专科医联体、安徽省感染性疾病专科联盟成员单位。专业诊治各类肝病、感染性疾病、传染性疾病。

  地址:

  1、感染科病区:颍上县人民医院南区 感染综合楼3、4、5层,医生办公室在4层,电话:0558-3901638。

  2、感染科门诊(南区):颍上县人民医院南区 门诊大厅1层东侧。

  3、肝病与感染科门诊:颍上县人民医院总院(新区) 门诊大厅入口外西侧。

  

  

  供稿:感染科  陈卫国

  


版权所有: 颍上县人民医院版权所有   备案:皖ICP备15025415号-1     公安备案号:34122602000431
医院地址: 安徽省阜阳市颍上县慎城镇甘罗路566号                咨询电话:0558-2826093