科室新闻 首页 > 新闻公告 > 科室新闻
肺癌介入治疗,开启肺癌患者生命的另一扇门
发布时间:2024-08-01来源:浏览:

肺癌介入治疗,开启肺癌患者生命的另一扇门

  

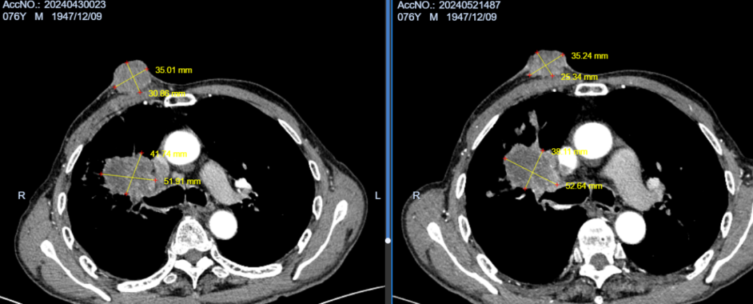
  76岁的李某(化名)确诊肺癌半年余,因体质较差,李某及家属拒绝行化疗。3月前因胸壁继发恶性肿瘤破溃出血,介入科急诊予以胸廓内动脉栓塞术止血治疗,术中即刻止血。后多次于我科行经导管支气管动脉化疗栓塞术,效果显著。

  

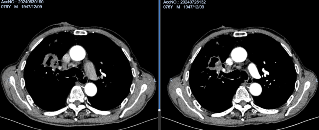
  术前CTA                              术后1月余

  

  

  术后2月余,胸壁继发恶性肿瘤基本坏死,肺内原发病灶缩小明显,坏死空洞形成。

  

  

  术后3月余,胸壁继发恶性肿瘤完全坏死,胸壁基本愈合,肺内病灶持续变小。

  肺癌介入治疗

  肺癌血管内介入治疗包括经导管动脉化疗灌注术和经导管动脉栓塞术,均属于微创手术,具有准确、安全、高效、适应证广、并发症少等优点。一般方法为局麻下经皮穿刺动脉后插入导管,找到肿瘤供血血管后经导管灌注化疗药物,后用栓塞剂进行肿瘤血管的栓塞以达到阻断肿瘤供血。这样使局部肺癌肿瘤组织接受高浓度的化疗药物,以达到增加抗肿瘤的效果且降低全身药物副作用,同时栓塞肿瘤供血血管使局部肿瘤失去血液营养而进一步控制肿瘤的生长。

  

  肺癌介入治疗的适应症

  1.已经失去外科手术治疗意义的中晚期肺癌患者。

  2.无法耐受外科手术的肺癌患者。

  3.外科手术有难度的肺癌,术前进行介入治疗,以短期缩小肿瘤后进行外科手术治疗以减少手术难度并提高疗效(相当于外科手术术前的新辅助化疗)。

  4.肺癌合并咯血者,可行灌注+栓塞术,以达到抗肿瘤和止血的双重疗效。

  5.不能耐受全身静脉化疗的患者,特别是老年肺癌患者。

  6.对于可耐受全身静脉化疗的患者,可行血管内介入化疗+补充剂量静脉化疗,以增加局部治疗效果并保证全身剂量。

  7.中央型肺癌、动脉血供丰富和巨大的周围型肺癌疗效更佳。

  

  介入科咨询电话:0558-2829105或13004010025(微信同号)。

  

  供稿:介入科  姚昌盛

  


版权所有: 颍上县人民医院版权所有   备案:皖ICP备15025415号-1     公安备案号:34122602000431
医院地址: 安徽省阜阳市颍上县慎城镇甘罗路566号                咨询电话:0558-2826093