科室新闻 首页 > 新闻公告 > 科室新闻
【科室动态】骨科二病区成功完成一例肥胖患者微创膝关节单髁置换手术
发布时间:2024-07-18来源:浏览:

【科室动态】骨科二病区成功完成一例肥胖患者微创膝关节单髁置换手术

  

  近日,双膝关节疼痛10余年的郑奶奶(化名)慕名至我院骨科二病区就诊,这里最新的微创单髁置换术给她带去了新的希望。

  

  郑奶奶今年66岁,身高170cm,体重几十年始终在105kg左右,由于郑奶奶的体重严重超标,导致双膝关节严重变形,并伴有重度疼痛不适,多年来郑奶奶步履维艰,只能依靠拐杖小范围行走活动,严重影响日常生活。

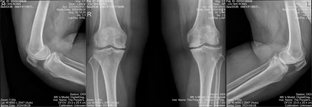
  膝关节正侧位片X线片提示:双侧膝关节内侧的软骨完全磨损,内侧间隙狭窄,关节缘骨赘形成,初步诊断为双侧膝关节重度骨性关节炎。

  

  郑奶奶伴有高血压、脑梗死、高尿酸血症等疾病和严重肥胖的特殊体质,术前联系心血管内科、神经内科、麻醉科及手术室等多学科进行会诊,而后经科室全体讨论,结合膝关节磁共振检查,认为郑奶奶是膝关节内侧单间室病变,外侧间室及髌股关节正常,膝关节韧带完整,关节活动范围基本正常,随行左侧膝关节内侧单髁置换术(UKA)治疗。

  

  在麻醉科及手术室的积极配合下,手术仅用1小时就顺利结束,术后当天,郑奶奶就在助行器的辅助下下床行走活动,术后伤口愈合良好,疼痛明显减轻。

  

  术后第5天,恢复良好的郑奶奶即要求出院,而且表示休养一段时间后,会再来进行住院手术治疗右膝关节的病痛,郑奶奶也充分意识到肥胖的危害,在饮食结构和习惯上发生了变化,体重正在逐渐下降。

  

  据骨科二病区科主任李明全主任医师介绍,与传统的全膝关节置换术不同,单髁置换不是延迟全膝关节置换手术,而是可以当做膝关节骨关节炎的终末手术治疗,而且单髁置换的创伤小,出血少、手术时间短,患者膝关节部位健康的交叉韧带、半月板等组织都得以保留,由于对膝关节各组织最大限度地保留,截骨量少去除的骨质少,术后患者在感知、力量、体位变化上的恢复效果更好,术后康复更快。

  李明全主任提醒:过于肥胖,是很容易导致膝关节退变,从而引起膝关节骨性关节炎的,因为体重的增加和膝关节骨性关节炎的发病是成正比的,并且肥胖也是引起膝关节骨性关节炎的主要原因。肥胖以后体重增加,而导致膝关节承受的力量也随之增加,并且在日常活动时,肥胖病人比正常人导致的膝关节磨损明显的加重。所以肥胖病人很容易导致膝关节骨质退变,以及软骨的磨损,从而后期引起骨质增生的情况,并且会引起膝关节骨性关节炎的发生,还很容易导致膝关节的变形,以及膝关节间隙的变窄情况。所以,在日常生活中一定要注意减轻体重,以免增加膝关节的负担,从而引起膝关节骨关节炎的发生。

  

  颍上县人民医院骨科二病区(原骨科三病区)能够自主开展膝关节单髁置换术、全膝关节置换术、全髋关节置换术、人工股骨头置换术及微创膝关节镜技术等关节手术,全体医务人员将以科学的诊疗技术、优质的服务理念,竭尽所能为每位患者排忧解难,为百姓健康保驾护航,全心全意为人民服务。

  咨询电话:0558-2826638,0558-2826637。

  骨科二病区(原骨科三病区)门诊时间:每月阳历双号日期及31号。

  

  供稿:阮亮

  


版权所有: 颍上县人民医院版权所有   备案:皖ICP备15025415号-1     公安备案号:34122602000431
医院地址: 安徽省阜阳市颍上县慎城镇甘罗路566号                咨询电话:0558-2826093